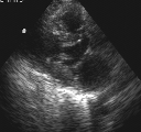
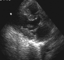
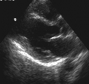
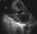
DICOM Viewer
Filename
2.dcm
Patient name
Anonymized
Study description
Exercise Echocardiogram
Study date
1994.11.05
Study time
13:45:00
Manufacturer
Acme Products
1
8